近日,皓月2.0五合一低辐射CBCT正式入驻袁林天儿童口腔朝阳总院,与儿牙专家携手,在护航儿牙健康的道路上迈出坚实一步。

专注儿牙三十年,一城六院不负信任

袁林天教授袁林天儿童口腔医院创始人
第四军医大学口腔医学博士
副主任医师/副教授/医学博士/硕士生导师
原第四军医大学口腔医院儿童口腔科副主任医师
儿童口腔医学专家/中华口腔医学会会员
首届中国医师节“最美医生”称号
中国非公立医疗协会副主任委员
中国非公医疗协会儿童口腔专业委员会主任委员
中国斑斓会(中国儿童口腔产业联盟)会长
陕西省国际医学交流促进会口腔医学专业委员会主任委员
陕西省儿童口腔医学专委会常委
西安医学高等专科学校名誉主任
汉中职业技术学院客座教授
实用口腔医学杂志审稿专家
获院临床高新课题一项
在国际期刊发表文章3篇
在国内源期刊上发表论文30篇
擅长:
儿童牙病早期防治、年轻恒牙大面积深龋修复、儿童牙齿外伤治疗和儿童牙颌畸形早期预防性矫治,特别对心理障碍儿童的临床治疗有自己独到的见解和方法。
2017年,为了让更多孩子能够更好的看牙,年近半百的袁林天教授放弃了安稳的工作与响亮的头衔,毅然投身到充满未知的创业之中。
7年时间,从1台牙科治疗椅、4个人,到如今“一城六院”的愿景全面落地,凭借卓越的医术、全心全意的服务,袁林天儿童口腔载誉前行,获得超100000个家庭的信赖。

坚守初心,服务品质持续进阶
在袁林天教授的探索与坚持下,集医疗、教学、科研、预防为一体的袁林天儿童口腔,已然成为西安儿童口腔行业颇具代表性的名片。以袁林天教授为核心,众多年轻医学硕士、博士及原第四军医大学骨干专家们汇聚一堂,紧密协作,不断探索进步。袁林天教授专注儿牙30年的技术、经验、学术积累,让更多就诊者受益的同时,也为医疗团队的成长注入强劲动力。通过不断举办全国性的儿牙峰会、开展进修生培训,袁林天教授将精湛医术和“爱心、童心、耐心、匠心、团队心”的服务理念,传递给更多志同道合之人。

在完成“一城六院”布局,逐渐向全国辐射的过程中,袁林天儿童口腔同样注重现有医院服务的持续提升。提升团队专业能力、服务思想的同时,院区装修、设备升级同步进行。
随着皓月2.0正式入驻袁林天教授创业的起点——袁林天儿童口腔朝阳总院,更多家庭可以便捷享受到更加安全、高效、舒适的牙科服务。
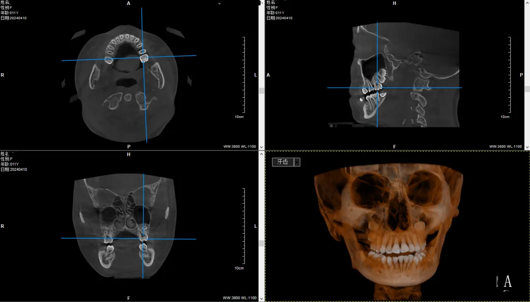
皓月2.0五合一CBCT,为儿牙健康护航
作为朝阳总院的焕新之选,皓月2.0以低辐射高质量成像方案和诸多人性化细节,为更多家庭带来高品质的诊疗服务,也见证着南京瑞德医疗与袁林天儿童口腔的志同道合,同心同行。

超低辐射,更安全
根据权威资料,中国儿童、青少年错畸形患病率在2000年时已达到67.82%,且发病率呈现上升趋势。过去的10年间,我国5岁年龄组乳牙患龋率从66.0%上升到71.9%;12岁年龄组儿童恒牙患龋率从28.9%上升到38.5%。和曾经在军医工作20多年,为解决儿牙看病难、看病贵难题,毅然走上创业路的袁林天教授一样,南京瑞德医疗同样特别关注约2.65亿中国儿童的口腔健康,这也是“皓月2.0,为儿牙而生”的缘起。

儿童对辐射的敏感性是成人的 2~3 倍,要更好的关爱儿童口腔健康,降低拍摄辐射是必须解决的问题。皓月2.0采用脉冲式曝光,一次扫描非拼接成像,配合自研的Ldirara(LDira reconstruction algorithm)AI低剂量算法,儿童最低只需70kV-2mA剂量,即可完成有效诊断影像的拍摄,辐射量远低于行业平均水平,能更好的保护患者与医护人员。
超强性能,更高效
医院容量有限,要让更多的儿童获得高水平的治疗,提高运行的效率同样至关重要。皓月2.0同时具备CT、全景、侧位、小牙片拍摄功能,医生可以根据患者实际情况,灵活选择需要拍摄的各类影像。采用超低剂量拍摄,可以有效降低设备的运行压力,算法与硬件协同之下,CT可连续拍片200组,患者无须长时间等待,更加契合超大客流就诊需求。



瑞德医疗自构底层框架、融合了多重AI技术的“智影”后处理软件、“慧影”正畸软件,带来自动绘制双侧下颌神经管、区域骨密度测量、骨龄分析、可联动术前术后比对、AI牙弓线精准绘制、一键获取影像图片、多种报告等功能,进一步提升诊疗的效率与便捷性。
超多细节,更舒适
相比成人,孩子的心理更加敏感,很多儿童对看牙有着天生的恐惧。在装修风格极具卡通化、亲子化的朝阳总院,儿童可一边观看动画片,一边进行看牙治疗,身穿卡通图案工作服、精通“哄娃秘诀”的医护人员,能够让孩子始终处于轻松愉悦的状态。



影像拍摄过程中,皓月2.0专属的一体式滑动座椅,带来舒适、稳定的坐拍体验,智能语音助手不仅会自动发送定制问候,还会在儿童拍摄时自动播放儿童轻音乐。

防运动监测系统、自适应头夹、电动颌托、身高自适应升降、侧位独立升降、摆位定位灯等诸多细节配置加持,医护人员可以更好的与小朋友沟通,让影像拍摄过程更加便捷、舒适。

在治疗环节,袁林天儿童口腔运用成熟的舒适化治疗方案,通过吸入镇静剂“全身麻醉”等方式,让患者可在极其放松的状态下完成患牙的治疗,实现了全流程的舒适诊疗闭环。
更安全、更高效、更舒适。当皓月2.0的纯粹匠心,遇见袁林天儿童口腔的美好初心,继续共同深耕,将为儿童口腔解决方案升级带来更多可能。